ΕΞΟΠΛΙΣΜΟΣ

OPTOS SILVERSTONE SS OCT
To OPTOS Silverstone είναι το ισχυρότερο εξεταστικό εργαλείο για τον αμφιβληστροειδή χιτώνα. Είναι η μοναδική συσκευή υπέρ-ευρείας απεικόνισης με ενσωματωμένη...
To OPTOS Silverstone είναι το ισχυρότερο εξεταστικό εργαλείο για τον αμφιβληστροειδή χιτώνα. Είναι η μοναδική συσκευή υπέρ-ευρείας απεικόνισης με ενσωματωμένη οπτική τομογραφία συνοχής swept source OCT.
Διαθέτει ενσωματωμένη πηγή σάρωσης OCT, για διευκόλυνση της εξέτασης
του αμφιβληστροειδούς από το υαλοειδές μέσω της διεπαφής χοριοειδούς-σκληρού.
Το OPTOS Silverstone παράγει αμφιβληστροειδική αποτύπωση 200ο με αξεπέραστη ευκρίνεια σε λιγότερο από μισό δευτερόλεπτο και επιτρέπει σαρώσεις OCT μέσω καθοδηγούμενου optomap κατά μήκος του αμφιβληστροειδούς και στην άκρα περιφέρεια.
Η χρήση του optomap επιτρέπει την ανίχνευση παθολογίας, τη διαχείριση της νόσου και διευκολύνει τη ροή της κλινικής.
Η εξέταση του αμφιβληστροειδούς μέσω του OPTOS Silverstone από το υαλώδες σώμα μέχρι τη χοριοειδική-σκληρική επιφάνεια είναι γρηγορότερη και ευκολότερη από ποτέ.
Το Οφθαλμο-Ογκολογικό Κέντρο του Νοσοκομείου ΜΗΤΕΡΑ είναι το μόνο οφθαλμολογικό κέντρο στην Ελλάδα με τη συγκεκριμένη συσκευή.
Το OPTOS Silverstone προσφέρει τα παρακάτω πλεονεκτήματα:
- Υπέρ-ευρεία απεικόνιση (UWF) με ενσωματωμένο swept-source OCT διευκολύνει τη λεπτομερή εξέταση του αμφιβληστροειδούς χιτώνα από το υαλώδες σώμα έως τον σκληρό.
- OCT καθοδηγούμενο μέσω της υπερ-ευρείας απεικόνισης (UWF) που απεικονίζει την παθολογία οπουδήποτε στο optomap
- OCT με πηγή φωτός 1050 nm παρέχει βαθύτερη διείσδυση στους ιστούς για καθαρή, λεπτομερή χοριοειδική απεικόνιση
- Το 3-σε-1 Color Depth Imaging παρέχει σημαντικά κλινικά δεδομένα από την επιφάνεια του αμφιβληστροειδούς έως τον χοριοειδή χιτώνα.
Χαρακτηριστικά εικόνων:
- Τυπική: Μονή αποτύπωση 200ο
- Αυτόματο Μοντάζ εικόνων μέχρι 220ο (όχι διαθέσιμο για αγγειογραφία με φλουορεσκεΐνη και πράσινο της ινδοκυανίνης)
- Κεντρικός πόλος: Λεπτομερής απεικόνιση της περιοχής της ωχράς κηλίδας.
- Στερεοσκοπικές εικόνες για την αξιολόγηση του οπτικού δίσκου και του αμφιβληστροειδούς.
- OCT: Σαρώσεις έως 23 mm και λειτουργεία swept-source
Optomap:
- Έγχρωμο red/green
- Ανέρυθρο (red-free) sensory
- Χοριοειδικό
- Αυτοφθορισμός
- Αγγειογραφία με φλουορεσκεΐνη
- Αγγειογραφία με πράσινο της ινδοκυανίνης
- Οπτική τομογραφία συνοχής (OCT) swept-source

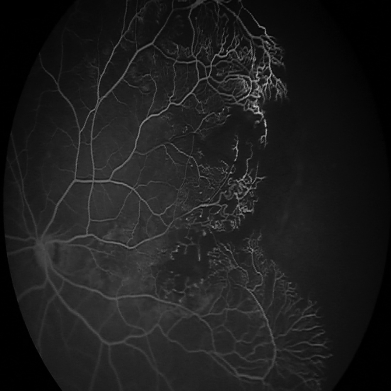
OPTOS SILVERSTONE SS OCT FLUORESCEIN ANGIOGRAPHY
Η υπέρ-ευρεία, υπερ-υψηλής ανάλυσης αγγειογραφία με φλουορεσκεΐνη του OPTOS SILVERSTONE SS OCT προσφέρει την ταυτόχρονη παρατήρηση ολόκληρου του αμφιβληστροειδούς χιτώνα...
Η υπέρ-ευρεία, υπερ-υψηλής ανάλυσης αγγειογραφία με φλουορεσκεΐνη του OPTOS SILVERSTONE SS OCT προσφέρει την ταυτόχρονη παρατήρηση ολόκληρου του αμφιβληστροειδούς χιτώνα του οφθαλμού.. Αυτό υποστηρίζει τους ιατρούς στη διάγνωση οφθαλμικής παθολογίας που ίσως παρουσιαστεί πρώτα στην περιφέρεια του αμφιβληστροειδούς, με αποτέλεσμα πιο ακριβής διάγνωση για τον ασθενή.
Το Οφθαλμο-Ογκολογικό Κέντρο του Νοσοκομείου ΜΗΤΕΡΑ είναι το μόνο οφθαλμολογικό κέντρο στην Ελλάδα με τη συγκεκριμένη συσκευή.
Αυτό επιτρέπει την απεικόνιση ολόκληρου του αμφιβληστροειδικού αγγειακού δικτύου κατά την έγχυση της χρωστικής μέσω ανέπαφης μεθόδου

OPTOS SILVERSTONE SS OCT INDOCYANINE GREEN ANGIOGRAPHY
Η υπέρ-ευρεία, υπερ-υψηλής ανάλυσης αγγειογραφία με πράσινο της ινδοκυανίνης του OPTOS SILVERSTONE SS OCT προσφέρει την ταυτόχρονη παρατήρηση ολόκληρου του...
Η υπέρ-ευρεία, υπερ-υψηλής ανάλυσης αγγειογραφία με πράσινο της ινδοκυανίνης του OPTOS SILVERSTONE SS OCT προσφέρει την ταυτόχρονη παρατήρηση ολόκληρου του αμφιβληστροειδούς χιτώνα του οφθαλμού. Αυτό επιτρέπει την απεικόνιση ολόκληρου του αμφιβληστροειδικού αγγειακού δικτύου κατά την έγχυση της χρωστικής μέσω ανέπαφης μεθόδου.
Μπορεί να αποφέρει πρόσθετες πληροφορίες χρήσιμες στη διαφοροποίηση μεταξύ των χοριοειδικών όγκων, επιτρέποντας τον ακριβέστερο σχεδιασμό θεραπείας και παρακολούθησης.
Το Οφθαλμο-Ογκολογικό Κέντρο του Νοσοκομείου ΜΗΤΕΡΑ είναι το μόνο οφθαλμολογικό κέντρο στην Ελλάδα με τη συγκεκριμένη συσκευή.
Αυτό μας επιτρέπει να διαγνώσουμε οφθαλμική παθολογία που ίσως παρουσιαστεί πρώτα στην περιφέρεια του αμφιβληστροειδούς, με αποτέλεσμα πιο ακριβής διάγνωση για τον ασθενή.

RETCAM ENVISION
Το RetCam Envision θέτει τις προδιαγραφές στην παιδιατρική οφθαλμική απεικόνιση, προσφέροντας εξαιρετικές εικόνες και αποτελεί μια εξαιρετικά σημαντική διαγνωστική δοκιμασία...
Το RetCam Envision θέτει τις προδιαγραφές στην παιδιατρική οφθαλμική απεικόνιση, προσφέροντας εξαιρετικές εικόνες και αποτελεί μια εξαιρετικά σημαντική διαγνωστική δοκιμασία σε παιδιά με ρετινοβλάστωμα. Είναι ιδιαιτέρως χρήσιμο και απαραίτητο εργαλέιο σε όσους ασχολούνται με την οφθαλμική ογκολογία και ειδικά σε ασθενείς με ρετινοβλάστωμα.
Το RetCam κάνει την παιδιατρική οφθαλμική απεικόνιση εύκολη και θέτει νέες προδιαγραφές στον τομέα. Ο αυξημένος φωτισμός μαζί με ένα υπέρ-ευρύ πεδίο κάνουν το RetCam Envision ηγέτη στην ποιότητα της εικόνας
Η αγγειογραφία με φλουορεσκεΐνη που υποστηρίζει η συσκευή RetCam Envision είναι διαγνωστικός αρωγός απαραίτητος σε παιδιατρικούς ασθενείς με ρετινοβλάστωμα.
Το Οφθαλμο-Ογκολογικό Κέντρο του Νοσοκομείου ΜΗΤΕΡΑ είναι το μόνο οφθαλμολογικό κέντρο στην Ελλάδα με τη συγκεκριμένη συσκευή.
Με την ευρεσιτεχνία Light Shaping Technology, οι χρήστες έρχονται αντιμέτωποι με απεικόνιση αυξημένων διαστάσεων και εξαιρετικές έγχρωμες εικόνες. Αυτά τα μοναδικά χαρακτηριστικά οδηγούν σε εικόνες που παρέχουν υψηλότερο επίπεδο σιγουριάς για τις αξιολογήσεις ασθενών και τη μετέπειτα καθοδήγηση. Οι εξαιρετικές έγχρωμες εικόνες μπορούν να προβληθούν σε λειτουργία πλήρους οθόνης για μέγιστη οπτικοποίηση της λεπτομέρειας, επιτρέποντας την έγκαιρη ανίχνευση οφθαλμικών ασθενειών και την έγκαιρη παρέμβαση.
Οι φακοί που συνοδεύουν το RetCam Envision, αποσπώμενος φακός πορτραίτου και αποσπώμενος φακός 130ο, αποτελούν τον καλύτερο σύντροφο για απεικόνιση πρόσθιων οφθαλμικών μορίων και οπίσθιων ημιμορίων. Συνδυαζόμενο με την Light Shaping Technology, οι φακοί προσφέρουν ευκρίνεια σε όλο το πεδίο των 130ο , βελτιωμένο περιφερικό φωτισμό και καλύτερο φωτισμό στους σκοτεινότερους αμφιβληστροειδείς χιτώνες λόγω χρωστικής. Επιπλέον, οι φακοί μπορούν να αποσπαστούν εύκολα για καθαρισμό και απολύμανση σε ελάχιστο χρόνο.
Η δυνατότητα εξέτασης με φλουοροαγγειογραφία που παρέχει το συγκεκριμένο μοντέλο βοηθά στην εξέταση της αιματικής κυκλοφορίας στα αμφιβληστροειδικά αιμοφόρα αγγεία, βοηθώντας στην ανίχνευση ανατομικών ανωμαλιών. Προσφέρει τη δυνατότητα στους χρήστες να οπτικοποιήσουν την παρουσία ή απουσία αιματικής ροής εντός του οφθαλμικού βολβού

RETCAM ENVISION FLUORESCEIN ANGIOGRAPHY
Η αγγειογραφία με φλουορεσκεΐνη που υποστηρίζει η συσκευή RetCam Envision είναι διαγνωστικός αρωγός απαραίτητος σε παιδιατρικούς ασθενείς με ρετινοβλάστωμα. Ελέγχει...
Η αγγειογραφία με φλουορεσκεΐνη που υποστηρίζει η συσκευή RetCam Envision είναι διαγνωστικός αρωγός απαραίτητος σε παιδιατρικούς ασθενείς με ρετινοβλάστωμα. Ελέγχει την κυκλοφορία των αιμοφόρων αγγείων και βοηθά στην ανεύρεση ανατομικών ανωμαλιών.
Μια απαραίτητη διαγνωστική εξέταση για ασθενείς με ρετινοβλάστωμα που ορίζει την έκταση της νόσου και διακρίνει τον όγκο από άλλες παιδιατρικές οφθαλμολογικές καταστάσεις (conditions).
Το Οφθαλμο-Ογκολογικό Κέντρο του Νοσοκομείου ΜΗΤΕΡΑ είναι το μόνο οφθαλμολογικό κέντρο στην Ελλάδα με τη συγκεκριμένη συσκευή.

HAAG-STREIT BX-900
Η παγκοσμίου φήμης Σχισμοειδής Λυχνία του οίκου Haag–Streit, συναντά την επαγγελματική φωτογραφία σε αυτό το μοναδικό συνδυασμό της BX-900. Χρησιμοποιώντας...
Η παγκοσμίου φήμης Σχισμοειδής Λυχνία του οίκου Haag–Streit, συναντά την επαγγελματική φωτογραφία σε αυτό το μοναδικό συνδυασμό της BX-900.
Χρησιμοποιώντας τα εξαιρετικά οπτικά του μικροσκοπίου της λυχνίας αλλά και μία DSLR φωτογραφική μηχανή, ο χειριστής έχει πλέον τη δυνατότητα να απεικονίσει με ασυναγώνιστη λεπτομέρεια τις παθολογίες του προσθίου ημιμορίου και να συνδράμει αποφασιστικά στη διάγνωση και αντιμετώπιση τους.
Το Haag-Streit BX-900 είναι ένα όργανο απεικόνισης με σχισμοειδή λυχνία χωρίς συμβιβασμούς, σχεδιασμένο για να αποτελεί σημαντική διαγνωστική εξέταση σε ασθενείς με ύποπτες αλλοιώσεις στο πρόσθιο τμήμα του οφθαλμού.
Το Οφθαλμο-Ογκολογικό Κέντρο του Νοσοκομείου ΜΗΤΕΡΑ είναι το μόνο οφθαλμολογικό κέντρο στην Ελλάδα με τη συγκεκριμένη συσκευή.
Η σχισμοειδής λυχνία BX 900 είναι ένα όργανο απεικόνισης χωρίς συμβιβασμούς σχεδιασμένο να βοηθά τους επαγγελματίες οφθαλμικής υγείας.
Επωφεληθείτε από τα καλύτερα συστήματα κάμερας της αγοράς. Η σχισμή λυχνία Haag-Streit BX 900 μπορεί να εξοπλιστεί με διάφορα επαγγελματικά συστήματα κάμερας χάρη στον προσαρμογέα γενικής χρήσης, ο οποίος βρίσκεται κομψά πάνω από το μικροσκόπιο της σχισμής..

OPTICAL COHERENCE TOMOGRAPHY (OCT) HAND-HELD LEICA ENVISU C2300
Το Envisu, είναι ένα OCT χειρός για να βοηθήσει στη διάγνωση φυσιολογικών και παθολογικών καταστάσεων του οφθαλμού. Έχει ουσιαστικό ρόλο...
Το Envisu, είναι ένα OCT χειρός για να βοηθήσει στη διάγνωση φυσιολογικών και παθολογικών καταστάσεων του οφθαλμού.
Έχει ουσιαστικό ρόλο στη διαχείριση του ρετινοβλαστώματος, ιδιαίτερα στην παρακολούθηση υποχιλιοστομετρικών όγκων. Είναι ζωτικής σημασίας η φροντίδα του ρετινοβλαστώματος να επιβεβαιώνει την υποτροπή της πάθησεις, επηρεάζοντας την απόφαση για την παροχή περαιτέρω θεραπείας και καθορίζοντας την ανταπόκριση του όγκου στη θεραπεία.
Γρήγορη λήψη και παρατήρηση λαμπρών, υψηλής ανάλυσης και υψηλής πυκνότητας εικόνες οπτικής τομογραφίας συνοχής (OCT), όπου τις χρειάζεστε. Το σύστημα Envisu C2300 χωρίς επαφή είναι άκρως απαραίτητο στην παιδιατρική οφθαλμική ογκολογία ειδικά σε ασθενείς με ρετινοβλάστωμα.
Επιτρέπει την ακριβής παρακολούθηση του οφθαλμικού όγκου και ανίχνευση υποκλινικών ή κλινικά αόρατων οφθαλμικών όγκων όπως είναι το ρετινοβλάστωμα.
Το Οφθαλμο-Ογκολογικό Κέντρο του Νοσοκομείου ΜΗΤΕΡΑ είναι το μόνο οφθαλμολογικό κέντρο στην Ελλάδα με τη συγκεκριμένη συσκευή.
- Μετακινήστε το OCT στον ασθενή σας: Η φορητή κεφαλή σάρωσης OCT και η κινητή μονάδα παρέχουν ευελιξία στην απεικόνιση από τη ΜΕΘ, το χειρουργείο και την κλινική.
- Εστίαση με σιγουριά: Το Envisu C2300 μπορεί να τοποθετηθεί σε χειρουργικό μικροσκόπιο για σταθερή, υψηλής ποιότητας ζωντανή απεικόνιση.
- Λάβετε εκπληκτικές λεπτομέρειες όταν τις χρειάζεστε: Μπορείτε να δείτε εικόνες υψηλής ανάλυσης σε πραγματικό χρόνο με λεπτομέρεια έως και 3 μm.
- Εξερευνήστε τον πλήρη όγκο: Διαθέτει δυνατότητα πλήρους 3D ογκομετρικής καταγραφής δεδομένων με πλήρως προσαρμόσιμες σαρώσεις δεδομένων υψηλής πυκνότητας έως 1000 x 1000.

HEIDELBERG SPECTRALIS OPTICAL COHERENCE TOMOGRAPHY
Το Spectralis αποτελεί ένα όργανο τομογραφίας βυθού με παγκόσμια αναγνώριση. Η τομογραφία Heidelberg Spectralis, μια πλατφόρμα διαγνωστικής απεικόνισης που συνδυάζει...
Το Spectralis αποτελεί ένα όργανο τομογραφίας βυθού με παγκόσμια αναγνώριση.
Η τομογραφία Heidelberg Spectralis, μια πλατφόρμα διαγνωστικής απεικόνισης που συνδυάζει την απεικόνιση βυθού με λέιζερ σάρωσης με απεικόνιση OCT υψηλής ανάλυσης, και η OCT ενισχυμένης απεικόνισης βάθους (EDI-OCT), είναι χρήσιμες στη διάγνωση, τον σχεδιασμό θεραπείας και την παρακολούθηση της ανταπόκρισης των οφθαλμικών και περιοφθαλμικών όγκων σε ενήλικες και παιδιά.
Είναι σχεδιασμένο για να παρέχει υψηλής ποιότητας απεικονίσεις της ωχράς κηλίδας, του οπτικού νεύρου και άλλων ιστών του ματιού και είναι δυνατή η διάγνωση διαβητικής αμφιβληστροειδοπάθειας, ηλικιακής εκφύλισης της ωχράς και πληθώρα άλλων παθολογιών.

HEIDELBERG SPECTRALIS MULTI-SPECTRAL FUNDUS IMAGING (MULTICOLOUR MODULE IMAGING)
Η πολυφασματική απεικόνιση βυθού (Multicolour Module Imaging) Heidelberg Engineering OCT Spectralis, μια απεικόνιση που λαμβάνεται με τρεις ταυτόχρονες δέσμες λέιζερ...
Η πολυφασματική απεικόνιση βυθού (Multicolour Module Imaging) Heidelberg Engineering OCT Spectralis, μια απεικόνιση που λαμβάνεται με τρεις ταυτόχρονες δέσμες λέιζερ σε διαφορετικά βάθη του οφθαλμικού βυθού, μια νέα τεχνική που μπορεί να χρησιμοποιηθεί για την ταυτόχρονη ανάδειξη διαφορετικών στρωμάτων εντός του αμφιβληστροειδούς, παρέχει τρεις μονοχρωματικές εικόνες που μπορούν να αποκαλύψουν τοπογραφικές αλλαγές που δεν είναι ορατές με τη συμβατική έγχρωμη φωτογραφία βυθού, ένα κρίσιμο διαγνωστικό εργαλείο που βοηθά στον εντοπισμό των ορίων του όγκου και της έκτασης της εμπλοκής της ωχράς κηλίδας, κάτι που μπορεί να είναι χρήσιμο για την αξιολόγηση της οπτικής επίδρασης.

HEIDELBERG SPECTRALIS FLUORESCEIN (FA) AND INDOCYANINE ANGIOGRAPHY (ICG)
Απεικονιστικές μέθοδοι βυθού, συμπεριλαμβανομένων εικόνων υψηλής ανάλυσης και ακολουθιών βίντεο που δείχνουν την πλήρωση, τη ροή και τη διαρροή των...
Απεικονιστικές μέθοδοι βυθού, συμπεριλαμβανομένων εικόνων υψηλής ανάλυσης και ακολουθιών βίντεο που δείχνουν την πλήρωση, τη ροή και τη διαρροή των αγγείων και αποτελούν απαραίτητα εργαλεία για τη διερεύνηση της κυκλοφορίας του όγκου.

ABSOLU ULTRASOUND WIRH IAnnular B20 MHz probe
Καθιστά δυνατή την άριστη απεικόνιση καθώς έχει ως αποτέλεσμα το μάτι να είναι ορατό με εξαιρετικό επίπεδο λεπτομέρειας. Ο συγκεκριμένο...
Καθιστά δυνατή την άριστη απεικόνιση καθώς έχει ως αποτέλεσμα το μάτι να είναι ορατό με εξαιρετικό επίπεδο λεπτομέρειας. Ο συγκεκριμένο υπέρηχος αποτελεί ένα κρίσιμο διαγνωστικό εργαλείο για τη διάγνωση όγκων του οφθαλμού.
Το ABSolu συνδυάζει την καλύτερη ποιότητα εικόνας, την μεγαλύτερη ακρίβεια μετρήσεων στην κατηγορία του, με την εξαιρετική εργονομία.
Η νέα πλατφόρμα υπερήχων με ενσωματωμένο ηλεκτρονικό υπολογιστή All-In-One τελευταίας τεχνολογίας
Το υπερηχογράφημα είναι η κύρια διαγνωστική εξέταση που επιβεβαιώνει τη διάγνωση του χοριοειδούς μελανώματος, καθώς και το μέγεθος, το πάχος (κορυφαίο ύψος), τη βασική διάσταση, την εξωφθάλμια επέκταση (όπως οι σκληρικοί όζοι) και την τεκμηριωμένη ανάπτυξη κατά την παρακολούθηση ενός ύποπτου σπίλου/μικρού μελανώματος.
Το υπερηχογράφημα σε ασθενείς με ρετινοβλάστωμα είναι πολύ χρήσιμο για την πρόσβαση στον όγκο και τη διαφοροποίηση του ρετινοβλαστώματος από άλλες παθήσεις.
Καινοτόμο probe B-SCAN 20 MHz, με κεφαλή πέντε ομόκεντρων δακτυλίων που κατευθύνουν τον υπέρηχο ανάλογα με τις απαιτήσεις της εξέτασης και προσφέρουν 70% μεγαλύτερο βάθος εξέτασης και αυξάνουν τη λεπτομέρεια της απεικόνισης κατά 25%.

ABSOLU A-B-UBM ULTRASOUND – STANDARDIZED PROBE
Εξειδικευμένο probe A-SCAN standardized στα 8 MHz, ιδανικό για την κλινική εξέταση χαρακτηριστικών απορρόφησης υπερήχων από όγκους, καρκινώματα, μελανώματα και...
Εξειδικευμένο probe A-SCAN standardized στα 8 MHz, ιδανικό για την κλινική εξέταση χαρακτηριστικών απορρόφησης υπερήχων από όγκους, καρκινώματα, μελανώματα και άλλα παθολογικά ευρήματα.
Το Absolu αποτελεί σημαντικό εργαλείο για τη διάγνωση όγκων του οφθαλμού
Το ABSolu συνδυάζει την καλύτερη ποιότητα εικόνας, την μεγαλύτερη ακρίβεια μετρήσεων στην κατηγορία του, με την εξαιρετική εργονομία.

ABSOLU A-B-UBM ULTRASOUND – UBM 50 MHZ LINEAR
Probe υπερηχητικής βιομικροσκοπίας UBM 50 MHz, ιδανικό για τη λεπτομερή εξέταση του προσθίου τμήματος του οφθαλμού (κερατοειδή, ίριδα, ακτινωτό σώμα)...
Probe υπερηχητικής βιομικροσκοπίας UBM 50 MHz, ιδανικό για τη λεπτομερή εξέταση του προσθίου τμήματος του οφθαλμού (κερατοειδή, ίριδα, ακτινωτό σώμα) με αξεπέραστη ανάλυση και εργαλεία ποσοτικοποίησης διαφόρων μεγεθών στην εικόνα.
ABSOLU Υπερηχητική βιομικροσκοπία (UBM) γραμμική 50MHz, ένα σημαντικό εργαλείο για την αξιολόγηση και τη διαχείριση όγκων του πρόσθιου ημιμορίου. Σε επιλεγμένες περιπτώσεις προχωρημένου ρετινοβλαστώματος, η UBM φαίνεται να αποτελεί ένα πολύτιμο εργαλείο στην ακριβή αξιολόγηση της πρόσθιας επέκτασης της νόσου.
Η βελτιωμένη τεχνολογία UBM καθιστά δυνατή τη διάγνωση των δομών πίσω από την ίριδα, τις οποίες άλλες τεχνολογίες δεν μπορούν να απεικονίσουν.
Ο νέος τρόπος επεξεργασίας σήματος προσφέρει αυξημένη ανάλυση και διεισδυτικότητα.
Το ABSolu συνδυάζει την καλύτερη ποιότητα εικόνας, την μεγαλύτερη ακρίβεια μετρήσεων στην κατηγορία του, με την εξαιρετική εργονομία.

ZEISS HUMPHREY FIELD ANALYZER 3
Νέα συσκευή οπτικής περιμετρίας HUMPHREY HFA3 μοντέλο 860, το Golden standard της περιμετρίας έγινε ακόμη καλύτερο Το HFA3 βελτιώνει τη...
Νέα συσκευή οπτικής περιμετρίας HUMPHREY HFA3 μοντέλο 860, το Golden standard της περιμετρίας έγινε ακόμη καλύτερο
Το HFA3 βελτιώνει τη διαχείριση των ασθενών επεκτείνοντας τις επιλογές δοκιμών με τα νέα τεστ SITA™ Faster 24-2 και 24-2C. Διευκολύνει την αναγνώριση της εξέλιξης της απώλειας του οπτικού πεδίου μέσω της Ανάλυσης Προόδου™ (GPA™), η οποία προσδιορίζει τη θέση και τον ρυθμό επιδείνωσης για τη λήψη θεραπευτικών αποφάσεων.
Σχεδιασμένο για αποτελεσματικότητα, το HFA3 βελτιστοποιεί τη ροή εργασίας μειώνοντας τον χρόνο ρύθμισης και εξασφαλίζοντας βέλτιστα αποτελέσματα δοκιμών με τον Υγρό Δοκιμαστικό Φακό™ και την αυτόματη ευθυγράμμιση των ματιών. Επιτρέπει την αδιάλειπτη αλληλεπίδραση με τα αποτελέσματα των εξετάσεων, παρέχοντας πρόσβαση σε ολόκληρο το ιστορικό εξετάσεων του ασθενούς και τη δυνατότητα προσαρμογής των βασικών τιμών σε πραγματικό χρόνο.
Με δυνατότητες συγχρονισμού δεδομένων, το HFA3 υποστηρίζει τη διενέργεια εξετάσεων σε πολλαπλές συσκευές, και δημιουργεί αναφορές με πλήρες ιστορικό. Ως βασικό στοιχείο της πλατφόρμας Ολοκληρωμένης Διαγνωστικής Απεικόνισης για το γλαύκωμα, το HFA3 παρέχει ολοκληρωμένες πληροφορίες, ενσωματώνοντας τη λειτουργία του οπτικού πεδίου με τα αντίστοιχα δομικά δεδομένα OCT για τη βέλτιστη διαχείριση των ασθενών.
Οι στρατηγικές SITA™ αποτελούν το πρότυπο φροντίδας στις δοκιμές οπτικού πεδίου, προσαρμοζόμενες αποτελεσματικά στις αποκρίσεις των ασθενών. Αναλύοντας το πλήρες μοτίβο των αποκρίσεων, το SITA βελτιώνει συνεχώς τις μετρήσεις του για τη βέλτιστη ακρίβεια των δοκιμών.

OPTOVUE VISIONIX SOLIX OPTICAL COHERENCE TOMOGRAPHY ANGIOGRAPHY (OCTA)
Το Solix, τo νέο FullRange OCT Angio, είναι η τελευταία τεχνολογία που ανέπτυξε η Optovue, η μακροχρόνια ηγέτης στην καινοτομία...
Το Solix, τo νέο FullRange OCT Angio, είναι η τελευταία τεχνολογία που ανέπτυξε η Optovue, η μακροχρόνια ηγέτης στην καινοτομία της ανάπτυξης των OCT και εφευρέτιδα εταιρία της OCT Αγγειογραφίας.
Η αγγειογραφία οπτικής συνοχής (OCTA) της Visionix είναι μια μη επεμβατική απεικονιστική μέθοδος που χρησιμοποιείται για τη διάγνωση και τη διαχείριση αγγειακών παθήσεων του αμφιβληστροειδούς και του χοριοειδούς. Η OCTA έχει την ικανότητα να ανιχνεύει ανεπαίσθητες αλλοιώσεις που δεν είναι αναγνωρίσιμες κατά τις κλινικές εξετάσεις. Η OCTA παίζει ρόλο στην κατανόηση της αγγείωσης των όγκων.
Το υπερσύγχρονο Solix, αναπτύσσει νέες τεχνολογίες, αφού προσφέρει μία σειρά νέων λειτουργιών, όπως: ακόμη πιο υψηλή ανάλυση στην OCT Αγγειογραφία, βελτιωμένη απεικόνιση αγγείων και εξάλειψη αντανακλάσεων, 120.000 Α Scans ανά δευτερόλεπτο, 5μm οπτική ανάλυση και OCTA 12×12 mm σε μία λήψη.
Τo Solix, είναι ένα πολυμηχάνημα με ευρυγώνιες λήψεις 18 x 6.25 mm, σε OCT προσθίου και οπισθίου, ενσωματωμένη κάμερα βυθού και επιφάνειας και όλες τις τεχνολογίες που ανέπτυξε στα προηγούμενα μοντέλα.
Σχεδιασμένο ώστε να προσαρμοστούν σε αυτό οι νέες τεχνολογίες που προετοιμάζει το τμήμα ερευνών της Optovue, το Solix, είναι η απάντηση στις ανάγκες OCT & OCTA για το σήμερα αλλά και για το μέλλον.Διατίθεται σε ανυψούμενη έδρα και με ηλεκτρονικό υπολογιστή της Optovue.

OPTOVUE VISIONIX SOLIX ANTERIOR SEGMENT OPTICAL COHERENCE TOMOGRAPHY (AS-OCT)
Το Solix, τo νέο FullRange OCT Angio, είναι η τελευταία τεχνολογία που ανέπτυξε η Optovue, η μακροχρόνια ηγέτης στην καινοτομία...
Το Solix, τo νέο FullRange OCT Angio, είναι η τελευταία τεχνολογία που ανέπτυξε η Optovue, η μακροχρόνια ηγέτης στην καινοτομία της ανάπτυξης των OCT και εφευρέτιδα εταιρία της OCT Αγγειογραφίας.
Η OCT παρέχει λεπτομερείς εικόνες της δομής του οφθαλμικού ιστού, επιτρέποντας την έγκαιρη ανίχνευση ανωμαλιών και την παρακολούθηση της εξέλιξης της οφθαλμικής νόσου.
Η AS-OCT έχει αποδειχθεί απαραίτητο διαγνωστικό εργαλείο στη διάγνωση και διαχείριση παθολογιών του επιπεφυκότα και του κερατοειδούς.
Η AS-OCT έχει χρησιμοποιηθεί ευρέως στη διάγνωση όγκων της οφθαλμικής επιφάνειας, παρέχοντας χαρακτηριστικά «οπτικής βιοψίας» in vitro που προσφέρουν παρόμοια, αν όχι καλύτερα, αποτελέσματα στην επίδειξη εσωτερικών χαρακτηριστικών του όγκου.
Τo Solix, είναι ένα πολυμηχάνημα με ευρυγώνιες λήψεις 18 x 6.25 mm, σε OCT προσθίου και οπισθίου, ενσωματωμένη κάμερα βυθού και επιφάνειας και όλες τις τεχνολογίες που ανέπτυξε στα προηγούμενα μοντέλα.
Σχεδιασμένο ώστε να προσαρμοστούν σε αυτό οι νέες τεχνολογίες που προετοιμάζει το τμήμα ερευνών της Optovue, το Solix, είναι η απάντηση στις ανάγκες OCT & OCTA για το σήμερα αλλά και για το μέλλον.

TONO-PEN AVIA
Το Tono-Pen παρέχει γρήγορες, ακριβείς και αξιόπιστες μετρήσεις ενδοφθάλμιας πίεσης (IOP) που είναι λιγότερο ευαίσθητες στην επικέντρωση του κερατοειδούς και...
Το Tono-Pen παρέχει γρήγορες, ακριβείς και αξιόπιστες μετρήσεις ενδοφθάλμιας πίεσης (IOP) που είναι λιγότερο ευαίσθητες στην επικέντρωση του κερατοειδούς και μπορούν να ληφθούν σε οποιαδήποτε θέση, συμπεριλαμβανομένων ασθενών σε κρεβάτια ή αναπηρικά αμαξίδια.

HAAG-STREIT AT-900
Το Τονόμετρο Επιπεδόσεως του οίκου Haag-Streit Ελβετίας αποτελεί το χρυσό πρότυπο της οφθαλμολογίας για τη μέτρηση της Ενδοφθάλμιας Πίεσης. Για...
Το Τονόμετρο Επιπεδόσεως του οίκου Haag-Streit Ελβετίας αποτελεί το χρυσό πρότυπο της οφθαλμολογίας για τη μέτρηση της Ενδοφθάλμιας Πίεσης. Για πάνω από 50 χρόνια οφθαλμίατροι εμπιστεύονται τις αξιόπιστες μετρήσεις του και έχουν εξεταστεί με αυτό εκατομμύρια ασθενείς σε όλο τον κόσμο.
Το ψηφιακό τονόμετρο Goldmann AT 900 D* προσθέτει στα πλεονεκτήματα της ψηφιακής τεχνολογίας αιχμής. Παρέχει εύκολη στην ανάγνωση ψηφιακή οθόνη ενδοφθάλμιας πίεσης.

ZEISS IOLMASTER 700
Η οπτική βιομετρία ZEISS IOLMaster 700 είναι ένα προηγμένο οπτικό βιομετρικό σύστημα που βελτιώνει τον προγραμματισμό των χειρουργείων καταρράκτη μέσω...
Η οπτική βιομετρία ZEISS IOLMaster 700 είναι ένα προηγμένο οπτικό βιομετρικό σύστημα που βελτιώνει τον προγραμματισμό των χειρουργείων καταρράκτη μέσω της τεχνολογίας Swept Source OCT, η οποία προσφέρει υψηλή ακρίβεια, σταθερότητα και μεγαλύτερη διείσδυση στον αδιαφανή καταρρακτικό φακό, καταγράφοντας καθαρά απεικονιστικά δεδομένα του αμφιβληστροειδούς και της ωχράς κηλίδας , και επιτρέποντας πιο ακριβείς υπολογισμούς ενδοφακών (IOL).
Καινοτομίες του IOLMaster 700
- Total Keratometry (TK)
- Χρησιμοποιεί Swept Source OCT για τη μέτρηση τόσο της πρόσθιας όσο και της οπίσθιας επιφάνειας του κερατοειδούς, προσφέροντας ακριβέστερη εκτίμηση της πραγματικής διαθλαστικής δύναμης του κερατοειδούς.
- Απαραίτητο για τον υπολογισμό των τορικών ενδοφακών (toric IOLs), καθώς λαμβάνει υπόψη τον οπίσθιο αστιγματισμό του κερατοειδούς, βελτιώνοντας τα μετεγχειρητικά αποτελέσματα.
- Central Topography
- Παρέχει λεπτομερή ανάλυση του κεντρικού σχήματος του κερατοειδούς, κρίσιμη για την ανίχνευση ασυμμετριών.
- Βοηθά τους χειρουργούς να βελτιστοποιήσουν τον προγραμματισμό της επέμβασης, χωρίς την ανάγκη πρόσθετων διαγνωστικών συσκευών για την τοπογραφία του κερατοειδούς.
- Barrett Suite
Το IOLMaster 700 περιλαμβάνει τη Barrett Suite, με τις πιο προηγμένες φόρμουλες για ακριβείς υπολογισμούς ενδοφακών:
- Barrett TK Universal II – Χρησιμοποιεί Total Keratometry για ακριβέστερες προβλέψεις ισχύος των ενδοφακών.
- Barrett TK Toric – Βελτιώνει τους υπολογισμούς τορικών ενδοφακών ενσωματώνοντας τις μετρήσεις του οπίσθιου κερατοειδούς.
- Barrett True K with TK – Σχεδιασμένο για ασθενείς που έχουν υποβληθεί σε διαθλαστική χειρουργική, προσφέροντας βελτίωση της ακρίβειας κατά 12% εντός ±0.5 D.
- Telecentric Keratometry
- Διασφαλίζει εξαιρετικά ακριβείς και επαναλήψιμες μετρήσεις της πρόσθιας καμπυλότητας του κερατοειδούς.
- Εξαλείφει τις παραμορφώσεις λόγω γεωμετρίας μέτρησης, παρέχοντας αξιόπιστα και συνεπή δεδομένα.

VISIONIX VX-40
Nέα γενιά, πλήρως αυτόματου φακομέτρου, βασισμένο στην τεχνολογία Wavefront από την Luneau / Visionix Γαλλίας. Αυτοματισμός Με το καινοτόμο σύστημα...
Nέα γενιά, πλήρως αυτόματου φακομέτρου, βασισμένο στην τεχνολογία Wavefront από την Luneau / Visionix Γαλλίας.
Αυτοματισμός
Με το καινοτόμο σύστημα λειτουργίας, το Wave Lens Pro είναι το μοναδικό φακόμετρο στην αγορά, το οποίο συνδυάζει αυτοματισμό και ακρίβεια στις μετρήσεις.
Πατώντας ένα κουμπί, έχουμε μια πλήρη ανάλυση και χαρτογράφηση των φακών όρασης του ασθενή σας.
Ευκολία Χρήσης
Διαθέτει ενσωματωμένη οθόνη αφής 7″ για το χειρισμό της συσκευής.
Αναγνωρίζει αυτόματα οποιοδήποτε τύπο φακών.
Εύχρηστος και εργονομικός σχεδιασμός για γρήγορη τοποθέτηση των γυαλιών: Ένα χέρι είναι αρκετό!
Πλήρης Ανάλυση
Κάθε σημείο ενός φακού μπορεί να μελετηθεί. Οι προοδευτικοί και οι φακοί ελεύθερης μορφής δεν θα είναι ποτέ πια, ένα μυστήριο!
Διασύνδεση
Δυνατότητα διασύνδεσης με τα ηλεκτρονικά φορόπτερα της Visionix για μεταφορά των δεδομένων των φακών.

VISIONIX VX-65
To νέο και μοντέρνο αυτόματο φορόπτερο VX65, της Visionix, επιτυγχάνει ακριβείς μετρήσεις και εργονομία, με υψηλή ταχύτητα! Σχεδιασμένο για να...
To νέο και μοντέρνο αυτόματο φορόπτερο VX65, της Visionix, επιτυγχάνει ακριβείς μετρήσεις και εργονομία, με υψηλή ταχύτητα! Σχεδιασμένο για να αντέχει στο πέρασμα του χρόνου, χάρη στα υψηλής ποιότητας και τεχνολογίας υλικά κατασκευής του, είναι ένα από τα πιο αξιόπιστα οπτομετρικά εργαλεία της αγοράς.
Μπορεί να συνδυαστεί με τον υπόλοιπο οπτομετρικό εξοπλισμό της Visionix, για επικοινωνία των μηχανημάτων και άμεση μεταφορά των αποτελεσμάτων από το ένα στο άλλο, προσφέροντάς σας ταχύτητα εργασίας.

VISIONIX VX-90
Η Visionix, με το αυτόματο διαθλασίμετρο-κερατόμετρο VX90, προσφέρει γρήγορες και ακριβείς μετρήσεις της διαθλαστικής ισχύος και της καμπυλότητας του κερατοειδούς....
Η Visionix, με το αυτόματο διαθλασίμετρο-κερατόμετρο VX90, προσφέρει γρήγορες και ακριβείς μετρήσεις της διαθλαστικής ισχύος και της καμπυλότητας του κερατοειδούς.
Εργονομικού σχεδιασμού και υψηλής τεχνολογίας, με τη λειτουργία αυτόματης ομίχλωσης (auto fogging), σε όλες τις συνθήκες.
Μπορεί να συνδυαστεί με τον υπόλοιπο οπτομετρικό εξοπλισμό της Visionix, μέσω ασύρματης επικοινωνίας και άμεση μεταφορά των μετρήσεων από το ένα μηχάνημα στο άλλο, προσφέροντάς σας υψηλή ταχύτητα εργασίας.

CSO FUTURE DELUXE 2_3
Πρόκειται για μια στιβαρή μονάδα 3 οργάνων με ηλεκτρική μετακίνηση του κάθε οργάνου. Η μονάδα είναι εξοπλισμένη με ένα συρτάρι...
Πρόκειται για μια στιβαρή μονάδα 3 οργάνων με ηλεκτρική μετακίνηση του κάθε οργάνου. Η μονάδα είναι εξοπλισμένη με ένα συρτάρι για την αποθήκευση του τονομέτρου και ένα φως οροφής, με τρία φώτα LED. Διαθέτει δύο νέας γενιάς πάνελ αφής, με οπίσθιο φωτισμό, εύκολα στη χρήση και στον καθαρισμό. Στα πάνελ, υπάρχουν όλες οι κύριες εντολές και είναι επίσης δυνατό να απομνημονεύσετε όλες τις λειτουργίες της μονάδας για εύκολη και άνετη καθημερινή χρήση.

LUNEAU
Το πλήρως αναδιπλούμενο Αισθησιόμετρο με νάιλον νήμα 12/100 mm για μέτρηση της ευαισθησίας αφής του κερατοειδούς και του βλεφάρου. Παρέχει...
Το πλήρως αναδιπλούμενο Αισθησιόμετρο με νάιλον νήμα 12/100 mm για μέτρηση της ευαισθησίας αφής του κερατοειδούς και του βλεφάρου.
Παρέχει άμεση ανάγνωση στο όργανο του μήκους του βαθμονομημένου νήματος, με βάση την αρχή της πίεσης που μεταδίδεται αξονικά από ένα νάιλον νήμα, γνωστής διαμέτρου αλλά μεταβλητού μήκους, για μια δεδομένη τάση κάμψης. Για τον έλεγχο της ευαισθησίας του κερατοειδούς σε ογκολογικές παθήσεις, όπως παραδείγματος χάριν ακουστικό νευρίνωμα ή αγγείωμα.

KEELER PROFESSIONAL
Το άμεσο οφθαλμοσκόπιο KEELER PROFESSIONAL, καλύπτει όλες τις ανάγκες . Το εύρος μέτρησης από +9 έως -10, επιτρέπει αλλαγές ακρίβειας...
Το άμεσο οφθαλμοσκόπιο KEELER PROFESSIONAL, καλύπτει όλες τις ανάγκες . Το εύρος μέτρησης από +9 έως -10, επιτρέπει αλλαγές ακρίβειας στην ισχύ του φακού +/- 20 με τη βοήθεια των δευτερεύοντων φακών που διαθέτει
ΠΛΕΟΝΕΚΤΗΜΑΤΑ:
Πέντε δέσμες για πλήρη διαγνωστική ικανότητα:
Wide Angle – για γενική εξέταση.
Macula – για πιο λεπτομερείς προβολές.
Intermediate – παρέχει ευκολότερη πρόσβαση σε μη διασταλμένες κόρες και σε περιφερική εξέταση. Ιδανικό για παιδιατρική.
Slit – για τον προσδιορισμό των αυξομειώσεων του αμφιβληστροειδούς. Χρησιμοποιείται για πρόσβαση στο βάθος του προσθίου θαλάμου.
Fixation Cross – χρησιμοποιείται σε συνδυασμό με το Ανέρυθρο φίλτρο – προβάλλει ένα διάφραγμα στον αμφιβληστροειδή για την εκτίμηση της έκκεντρης προσήλωσης.
Πράσινη (red free): Για λεπτομερή εξέταση των αγγείων. Μπορεί να συνδυαστεί με άλλες δέσμες.
Με το πρόσθετο σύστημα κηλίδας γλαυκώματος, παρέχει βελτιωμένες διαγνωστικές δυνατότητες. Δέχονται επαναφορτιζόμενη μπαταρία λιθίου.
Άριστο οπτικό σύστημα.

KEELER PROFESSIONAL COMBI RETINOSCOPE
Τελειοποιημένη έκδοση, με εξαιρετικές επιδόσεις, είτε με Streak είτε με Spot δέσμη, η οποία αλλάζει με μια απλή αλλαγή του...
Τελειοποιημένη έκδοση, με εξαιρετικές επιδόσεις, είτε με Streak είτε με Spot δέσμη, η οποία αλλάζει με μια απλή αλλαγή του λαμπτήρα. Το νέο ρετινοσκοπιο LED εγγυάται αρκετό φως για την εξέταση της διάθλασης, ακόμη και στα πιο δύσκολα μάτια. Αυτό είναι το μόνο ρετινοσκόπιο που επιτρέπει την άμεση επιβεβαίωση της ουδετερότητας.
Και στις δύο δέσμες (Streak, Spot), μπορεί να αλλάξει η ακτίνα από αποκλίνουσα σε συγκλίνουσα, δίνοντάς τη δυνατότητα να διασταυρωθεί με ακρίβεια το ουδέτερο σημείο, διασφαλίζοντας ότι η αξιολόγηση είναι σωστή κάθε φορά.
Προσφέρει βελτιωμένη πρόσβαση 360 º, σε ένα ενιαίο σύστημα, τόσο για περιστροφή όσο και για την ρύθμιση της σύγκλισης. Η ακρίβεια των κινήσεων, επιτυγχάνεται με τη χρήση της τεχνολογίας μαγνήτη.
Με μια απλή κίνηση του δακτύλου, επιτρέπει την επιλογή από 4 mm ή 1,7 mm οπή, για την καλύτερη φωτεινότητα και ανάλυση της αντανάκλασης του αμφιβληστροειδούς.

KEELER VANTAGE PLUS
Το Vantage PLUS LED, είναι το έμμεσο οφθαλμοσκόπιο της KEELER. Απεικόνιση στο ιατρείο, το χειρουργείο ή οπουδήποτε. ΠΛΕΟΝΕΚΤΗΜΑΤΑ: Πηγή φωτός...
Το Vantage PLUS LED, είναι το έμμεσο οφθαλμοσκόπιο της KEELER.
Απεικόνιση στο ιατρείο, το χειρουργείο ή οπουδήποτε.
ΠΛΕΟΝΕΚΤΗΜΑΤΑ:
- Πηγή φωτός LED, που παρέχει ψυχρό και λευκό φωτισμό με μεγάλη διάρκεια ζωής της μπαταρίας και απαλλαγή από την αγορά λαμπτήρων. H διάρκεια ζωής της πηγής LED φτάνει τις 10.000 ώρες.
- Κλινικά, τα ανώτερα οπτικά συστήματα σε συνδυασμό με τον φωτισμό LED, μπορούν να δώσουν περισσότερες λεπτομέρειες, επιτρέποντάς τον εντοπισμό της παθολογίας του αμφιβληστροειδούς

KEELER VANTAGE-PLUS DIGITAL
Το Vantage Plus LED Digital, είναι το νέο ψηφιακό έμμεσο οφθαλμοσκόπιο της KEELER. Περιλαμβάνει και λήψη βίντεο, όπου το ΟΦΘΑΛΜΟ-ΟΓΚΟΛΟΓΙΚΟ...
Το Vantage Plus LED Digital, είναι το νέο ψηφιακό έμμεσο οφθαλμοσκόπιο της KEELER. Περιλαμβάνει και λήψη βίντεο, όπου το ΟΦΘΑΛΜΟ-ΟΓΚΟΛΟΓΙΚΟ ΚΕΤΡΟ του ΝΟΣΟΚΟΜΕΙΟΥ ΜΗΤΕΡΑ είναι το πρώτο και μοναδικό Κέντρο που το διαθέτει στην Ελλάδα.
Ψηφιακή απεικόνιση στο ιατρείο, το χειρουργείο ή οπουδήποτε. Το διαισθητικό και ισχυρό λογισμικό Keeler, επιτρέπει τη χρήση ενός φορητού υπολογιστή για τη βελτιστοποίηση της εξέτασης και την παροχή δυναμικών εικόνων, που μπορούν να χρησιμοποιηθούν για την τεκμηρίωση των ευρημάτων ή της διάγνωσης από τον κλινικό ιατρό.
ΠΛΕΟΝΕΚΤΗΜΑΤΑ:
- Πηγή φωτός LED, που παρέχει ψυχρό και λευκό φωτισμό με μεγάλη διάρκεια ζωής της μπαταρίας και απαλλαγή από την αγορά λαμπτήρων. H διάρκεια ζωής της πηγής LED φτάνει τις 10.000 ώρες.
- Κλινικά, τα ανώτερα οπτικά συστήματα σε συνδυασμό με τον φωτισμό LED, μπορούν να δώσουν περισσότερες λεπτομέρειες, επιτρέποντάς τον εντοπισμό της παθολογίας του αμφιβληστροειδούς

KEELER Cryomatic MK II
Κονσόλα Κρυοθεραπείας Keeler Cryomatic MKII που χρησιμοποιεί έναν μικρό μεταλλικό καθετήρα που ψύχεται σε πολύ χαμηλές θερμοκρασίες, σκοτώνει τα καρκινικά...
Κονσόλα Κρυοθεραπείας Keeler Cryomatic MKII που χρησιμοποιεί έναν μικρό μεταλλικό καθετήρα που ψύχεται σε πολύ χαμηλές θερμοκρασίες, σκοτώνει τα καρκινικά κύτταρα καταψύχοντάς τα.
Η κρυοθεραπεία μπορεί να χρησιμοποιηθεί ως κύρια ή συμπληρωματική/συνδυασμένη θεραπεία σε ασθενείς με ρετινοβλάστωμα και σε διάφορους τύπους οφθαλμικών όγκων σε ενήλικες.
το Cryomatic MK II προσφέρει ποιότητα και ευελιξία όταν χρησιμοποιείται, είτε με μίας χρήσης, είτε με επαναχρησιμοποιήσιμα Probes.
Το νέο ενσωματωμένο λογισμικό εντοπίζει αυτόματα τον τύπο του Probe που χρησιμοποιείται και προσαρμόζει ανάλογα τη μονάδα, πράγμα που σημαίνει ότι η μονάδα είναι έτοιμη για χρήση πολύ γρήγορα

IRIDEX GREEN IQ 532 LASER
To καινοτομικό μοντέλο IQ 532 της εταιρείας Iridex είναι ένα πράσινο laser το οποίο διαθέτει την μοναδική τεχνολογία Micropulse®. Το...
To καινοτομικό μοντέλο IQ 532 της εταιρείας Iridex είναι ένα πράσινο laser το οποίο διαθέτει την μοναδική τεχνολογία Micropulse®.
Το IQ 532 εκπέμπει πράσινη δέσμη Laser στα 532 nm , είναι στερεάς κρυσταλλικής κατάστασης και είναι πολυχρησικό Laser αφού μπορεί να χρησιμοποιηθεί ως επαναλήψιμη θεραπεία για το γλαύκωμα, με laser τραμπεκουλοπλαστική μικροπαλμών (MLT) αλλά και για παθήσεις της ωχράς, όπως ηλικιακή εκφύλιση της ωχράς, διαβητικό οίδημα ωχράς, παραγωγική διαβητική αμφιβληστροειδοπάθεια, ρωγμές του αμφιβληστροειδούς και πολλές ακόμη εφαρμογές.
Η φωτοπηξία με λέιζερ iRIDEX Patent Micropulse Laser Treatment θα μπορούσε να χρησιμοποιηθεί για την αφαίρεση της ισχαιμικής ζώνης μετά από ακτινοθεραπεία σε ασθενείς με χοριοειδικό μελάνωμα, την υποτροπή της ακτινοβολικής αμφιβληστροειδοπάθειας και την καταστροφή της ισχαιμίας του αμφιβληστροειδούς που προκαλείται από την ακτινοβολία, για τη θεραπεία, την πρόληψη ή την καθυστέρηση της ωχράς κηλίδας που προκαλείται από την ακτινοβολία.
Διατίθεται σε 2 εκδόσεις, με Micropulse® ή χωρίς και δύναται να συνδεθεί με πληθώρα σχισμοειδών λυχνιών, με έμμεσο οφθαλμοσκόπιο (LIO) ή να χρησιμοποιηθεί στο χειρουργείο με ενδολέιζερ probe.
Πολύ σημαντικό είναι το γεγονός , ότι μπορεί το Laser να αναβαθμιστεί σε Pattern Laser (πολλαπλών στόχων ) με τη σύνδεση του συστήματος TX Cell.

IRIDEX SLIT LAMP DIODE LASER OCULIGHT SLX 810NM
Διοδικό laser χορήγησης μέσω σχισμοειδούς λυχνίας με δυνατότητα μεγάλων και μικρών στόχων (spots). Λέιζερ διόδου ημιαγωγού που χορηγεί πραγματικό υπέρυθρο...
Διοδικό laser χορήγησης μέσω σχισμοειδούς λυχνίας με δυνατότητα μεγάλων και μικρών στόχων (spots).
Λέιζερ διόδου ημιαγωγού που χορηγεί πραγματικό υπέρυθρο φως λέιζερ συνεχούς κύματος (810 nm) για οφθαλμολογικές εφαρμογές. Διαθέτουμε ένα πρότυπο laser για ευελιξία υψηλών επιδόσεων.
Η διακορική θερμοθεραπεία (TTT) με λέιζερ διόδου αντιμετωπίζει αποτελεσματικά παθήσεις του αμφιβληστροειδούς και του χοριοειδούς, όπως το χοριοειδές αιμαγγείωμα και το χοριοειδές μελάνωμα, καθώς μια δέσμη φωτός συρρικνώνει ή καταστρέφει τα καρκινικά κύτταρα και είναι επίσης αποτελεσματική στη θεραπεία του νεοαγγειακού γλαυκώματος που σχετίζεται με όγκους.
Το ΟΦΘΑΛΜΟ-ΟΓΚΟΛΟΓΙΚΟ ΚΕΝΤΡΟ είναι το πρώτο και μόνο οφθαλμολογικό κέντρο στην Ελλάδα που παρέχει αυτή τη θεραπεία.
Η ευελιξία του συστήματος OcuLight SLx προσφέρει τρεις διαφορετικές μεθόδους παροχής ενέργειας λέιζερ: CW-Pulse™, MicroPulse™ και LongPulse™. Η εξαιρετικά εύκολη χρήση, το υπέρυθρο μήκος κύματος και η ευρεία επιλογή συστημάτων προσφέρουν ένα ευρύ φάσμα επιλογών θεραπείας ιδιαίτερα κατάλληλες για αμφιβληστροειδοπάθεια προωρότητας και γλαυκώματος τελικού σταδίου.
Το υπέρυθρο λέιζερ OcuLight ® SLx 810 nm προσφέρει υψηλή απόδοση για επεμβάσεις φωτοπηξίας στον αμφιβληστροειδή και γλαυκώματος, συμπεριλαμβανομένων διασκληρικών εφαρμογών.

IRIDEX LASER INDIRECT OPTHALMOSCOPE PLUS
Το Iridex Laser Indirect Ophthalmoscope Plus είναι ένα εύχρηστο Laser έμμεσο οφθαλμοσκόπιο που είναι εργονομικό και παρέχει εξαιρετική περιφερειακή απεικόνιση...
Το Iridex Laser Indirect Ophthalmoscope Plus είναι ένα εύχρηστο Laser έμμεσο οφθαλμοσκόπιο που είναι εργονομικό και παρέχει εξαιρετική περιφερειακή απεικόνιση και ευελιξία στη θεραπεία με αξιοπιστία. Θεωρείται το χρυσό πρότυπο των έμμεσων οφθαλμοσκοπίων και σε συνδυασμό με το Diode Laser Oculight SLX χρησιμοποιείται για την αποτελεσματική θεραπεία ενδοφθάλμιων όγκων.
Η θεραπεία λειτουργεί αυξάνοντας σταδιακά τη θερμοκρασία του όγκου.
Το λέιζερ παρέχει χαμηλής στάθμης θερμότητα στην περιοχή, σκοτώνοντας τα καρκινικά κύτταρα και συρρικνώνοντας τον όγκο. Αυτό το λέιζερ χρησιμοποιεί υπέρυθρο φως για να στοχεύσει τον όγκο, θερμαίνοντας και καταστρέφοντας αποτελεσματικά τα καρκινικά κύτταρα.
Η διακορική θερμοθεραπεία (TTT) είναι μία από τις επιλογές θεραπείας για ασθενείς με ρετινοβλάστωμα. Μπορεί να χρησιμοποιηθεί μόνη της ή σε συνδυασμό με άλλες θεραπείες.
Το Οφθαλμο-Ογκολογικό Κέντρο του Νοσοκομείου ΜΗΤΕΡΑ είναι το μόνο οφθαλμολογικό κέντρο στην Ελλάδα με τη συγκεκριμένη συσκευή.
Δίνει τη δυνατότητα παροχής ενέργειας λέιζερ στην πλέον απομακρυσμένη περιφέρεια του αμφιβληστροειδούς, καθώς και τη δυνατότητα θεραπείας ασθενών σε ύπτια θέση.)

IRIDEX TRUFOCUS LASER INDIRECT OPHTHALMOSCOPE PREMIERE
Το Green Laser που χορηγείται μέσω συστήματος οφθαλμοσκοπίου. Το οφθαλμοσκόπιο (LIO) Premiere είναι ένα οπτικό σύστημα που προβάλλει μια δέσμη...
Το Green Laser που χορηγείται μέσω συστήματος οφθαλμοσκοπίου.
Το οφθαλμοσκόπιο (LIO) Premiere είναι ένα οπτικό σύστημα που προβάλλει μια δέσμη λέιζερ στόχευσης και θεραπείας που χορηγείται από το λέιζερ μέσω ενός καλωδίου οπτικών ινών. Το λέιζερ εστιάζει στα αιμοφόρα αγγεία που περιβάλλουν και τροφοδοτούν τον όγκο, και τα καταστρέφει θερμαίνοντάς τα.
Όταν χρησιμοποιείται μόνο του ή σε συνδυασμό με άλλες θεραπείες, είναι αποτελεσματικό στη θεραπεία του ρετινοβλαστώματος και άλλων οφθαλμικών όγκων.

IRIDEX TXCell Scanning Laser Delivery System Slit Lamp Adapter
To TXCell Scanning Laser Delivery System, Slit Lamp Adapter της Αμερικάνικης εταιρείας Iridex, είναι μία συσκευή σάρωσης μοτίβων πολλαπλών σημείων,...
To TXCell Scanning Laser Delivery System, Slit Lamp Adapter της Αμερικάνικης εταιρείας Iridex, είναι μία συσκευή σάρωσης μοτίβων πολλαπλών σημείων, η οποία συνδέεται με το IQ 532 ή το IQ 577 laser. The TxCell Scanning coupled to the Iridex IQ 532® or IQ 577® adds multiple treatment modalities for glaucoma and retinal disorders.
Είναι μία ευέλικτη πλατφόρμα, για προηγμένη θεραπεία του αμφιβληστροειδούς, όπου δίνει την δυνατότητα σάρωσης μοτίβου πολλαπλών σημείων, για αποτελεσματική φωτοπηξία του αμφιβληστροειδούς, με MicroPulse ™ ή χωρίς.
Με τον παλμό υψηλής ταχύτητας που διαθέτει, προσφέρει αυξημένη ταχύτητα θεραπείας αλλά και βελτιωμένη πρόβλεψη στην τοποθέτηση των σημείων βολής laser, πολύ σημαντική λειτουργία για τον ασθενή, για εσάς αλλά και για την πιο αποτελεσματική θεραπεία.

IRIDEX OPERATING MICROSCOPE ADAPTER
Πρόκειται για ένα μοναδικό σύστημα θεραπείας με diode laser ασθενών σε κλινήρη θέση . Το εξάρτημα συνδέεται στο χειρουργικό μικροσκόπιο...
Πρόκειται για ένα μοναδικό σύστημα θεραπείας με diode laser ασθενών σε κλινήρη θέση . Το εξάρτημα συνδέεται στο χειρουργικό μικροσκόπιο και επιτρέπει την εφαρμογή diode laser σε μεγάλα χρονικά διαστήματα .
Προσθέτει τη θεραπευτική δυνατότητα της φωτοπηξίας του αμφιβληστροειδούς σε ένα χειρουργικό μικροσκόπιο
Είναι ιδανικό για την θεραπεία πολλών οφθαλμικών όγκων σε ενήλικους και παιδιά.

IRIDEX SLIT LAMP ADAPTERS
Διαθέτουμε μία σειρά προσαρμογέων Σχισμοειδούς Λυχνίας για τα laser του Οφθαλμο-Ογκολογικού Κέντρου. Οι προσαρμογείς, προσφέρουν ακριβή εστίαση και ομοιόμορφη ενεργειακή...
Διαθέτουμε μία σειρά προσαρμογέων Σχισμοειδούς Λυχνίας για τα laser του Οφθαλμο-Ογκολογικού Κέντρου.
Οι προσαρμογείς, προσφέρουν ακριβή εστίαση και ομοιόμορφη ενεργειακή πυκνότητα, ενώ διαθέτουν απαράμιλλη οπτική, ακρίβεια και ευκολία χρήσης, σε πολλά μεγέθη spot.
Είναι ανθεκτικοί, εργονομικοί και διαθέτουν μεταλλική σχεδίαση, για εύκολη εγκατάσταση και μακρόχρονη αξιοπιστία.
Τα βελτιωμένα οπτικά συστήματα προάγουν την ανώτερη προβολή του ιστού-στόχου κατά τη διάρκεια της θεραπείας και τη μέγιστη ανάλυση, εφαρμογή και ισορροπία χρωμάτων. Μεγέθη κηλίδων ° 50–500 µm. Περιλαμβάνει μικροχειριστή για ακριβή τοποθέτηση λέιζερ.
Διατίθενται μεγέθη κηλίδων 600-5000 µm με μεγάλους προσαρμογείς κηλίδων – Διατίθεται μεγαλύτερη κηλίδα για διακορική θερμοθεραπεία (TTT)